
一束超声“探照灯”,为65岁阿姨照亮肺内迷途:精准锁定肺外周病灶,微创诊断守护生命健康!
65岁的刘阿姨持续咳嗽、咳痰两个多月,辗转多家医院抗感染治疗效果欠佳,最终来到海南医科大学第二附属医院呼吸与危重症医学科就诊。王晶主任和张海涛副主任在细致评估其胸部CT影像后,不能排除肺部恶性肿瘤,鉴于病灶位于肺外周边缘,常规支气管镜难以抵达,故决定采用目前先进的径向超声支气管镜(R-EBUS)技术进行精准探查。
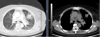
在充分术前评估及沟通后,由呼吸介入团队张海涛副主任为刘阿姨施行R-EBUS引导下的肺活检术。首先通过高分辨率CT及三维重建技术精准规划进镜路径,确定病灶位于左肺上叶前段(图1)。术中,张主任操作超声探头沿目标支气管逐步推进,在实时超声监测下清晰捕捉到软组织回声信号(图2),确认定位后迅速而稳妥地完成活检取样。病理结果回报为肺腺癌(图3),至此,刘阿姨的病情终于真相大白了,为后续全身治疗提供了坚实依据。

图1 胸部CT提示:左肺上叶阴影。


图2 R-EBUS于左肺上叶前段探及异常回声

图3 活检组织病理结果肺腺癌
R-EBUS是一项新兴呼吸内镜技术,能够对支气管壁及肺内病变实现360°扫描成像,极大扩展了传统支气管镜的诊断范围。该技术尤其适用于不明原因的肺内小结节、肺部阴影,不宜接受经皮肺穿刺或胸腔镜活检的患者。
与传统方式相比,R-EBUS引导肺活检具备三大优势:实时监控、精准误差小;无辐射损伤;价格适中、创伤小、安全性高。它不仅气胸发生率低,诊断率也显著优于常规气管镜,成为肺外周病变微创确诊的重要工具。
整个诊疗流程严谨高效:团队首先依据影像资料精准规划路径,随后将超声探头送至目标位置扫描确认,最后经引导鞘管置入活检钳获取组织。操作全程约10–20分钟,所获标本不仅满足病理检查,还可支持EGFR、ALK、ROS1等基因检测,为感染、肺癌、肺内罕见病等个体化治疗提供全面信息。
海南医科大学第二附属医院呼吸与危重症医学科呼吸介入团队以精湛技术、先进设备和高度负责的专业精神,深入洞察每一例疑难病变,为患者争取宝贵的诊断和治疗窗口。从术前多学科讨论、术中精准操作,到术后标本处理和基因检测全程管理,团队始终秉持“生命至上、精准医疗”的理念,致力于为每一位呼吸系统疾病患者提供安全、高效、人性化的诊疗服务,用技术和关怀照亮患者生命的通道,用责任与智慧守护患者每一次呼吸!


琼公网安备 46010602000799号