
呼吸内科的“钥匙孔”艺术:海医二院呼吸与危重症医学科呼吸介入团队以可弯曲内科胸腔镜精准诊治胸膜疾病
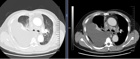
近日,一名55岁患者因反复咳嗽十余天前来海南医科大学第二附属医院呼吸与危重症医学科就诊。胸部CT显示右肺下叶病变并纵隔淋巴结肿大,伴右侧少量胸腔积液。尽管已行支气管镜下肺活检和纵隔淋巴结穿刺,仍未明确病因。随后患者气短症状加重,复查CT见右侧胸腔积液明显增多(图1)。经科室王晶主任组织学科内病例讨论,决定采用可弯曲内科胸腔镜技术进一步明确诊断。
在呼吸内镜室,呼吸介入团队张海涛副主任仅通过一个约2厘米的微小切口,高效完成胸腔探查、活检及引流操作(图2),最终确诊为肺癌伴胸膜转移(图3)。该项微创技术为患者后续个体化治疗方案的制定提供了关键依据。

图1 胸部CT示右侧大量胸腔积液

图2 可弯曲内科胸腔镜检查

图3 活检组织病理结果提示肺腺癌并胸膜转移
与外科胸腔镜相比,可弯曲内科胸腔镜具有多方面优势。该技术由呼吸介入专业医生操作,可在内镜室实施,患者仅需局部麻醉,全程保持自主呼吸,操作过程中只需单一微小切口(约2厘米),医生便能全面观察胸膜腔情况,精准实施多部位活检和引流。患者术后疼痛轻微、并发症少、恢复迅速,费用相比于外科胸腔镜明显减低。
尤其对于不明原因胸腔积液的诊断,可弯曲内科胸腔镜表现卓越。研究显示,其对胸膜疾病的诊断准确率介于71%至97%,对胸腔积液病因的诊断率更高达93.3%。
可弯曲内科胸腔镜在诊断方面应用广泛,特别适用于不明原因胸腔积液、弥漫性恶性胸膜间皮瘤及肺癌分期评估。我院呼吸介入团队可在直视胸膜腔及病变的情况下,精准实施多部位活检,显著提高诊断率。在治疗方面,该技术能处理恶性或复发性胸腔积液、早期脓胸和自发性顽固性气胸等多种胸内病变。
随着医学技术的持续进步,可弯曲内科胸腔镜已成为胸膜疾病诊断的“金标准”。海南医科大学第二附属医院呼吸与危重症医学科介入团队不断精进该项技术,不仅显著提升诊断准确性,减少患者痛苦与手术风险,更提供了更加精准、高效、微创的诊疗路径。
若患者长期受胸腔积液或其他胸膜疾病困扰,多次诊疗效果欠佳,可借助多种先进的呼吸介入技术精准定位病因、直达病灶,指明正确的治疗方向!


琼公网安备 46010602000799号