
不开刀,一针定乾坤——原发性小肝癌的微波消融技术
《不开刀,一针定乾坤——原发性小肝癌的微波消融技术》

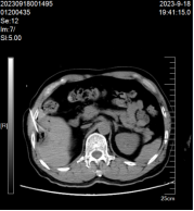
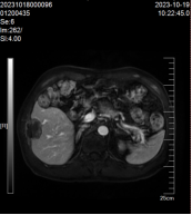
患者,林某某,男性,70岁,既往有乙肝病史,因体检发现肝脏占位入住我院肿瘤内科。入院后肝癌组团队医护立即完善相关检查,肝脏磁共振:肝Ⅵ段见团块状异常信号影,大小约为20mm×16mm×20mm,DWI呈高信号影,增强扫描呈不均匀强化(见图1)。甲胎蛋白(AFP) 1020.00IU/ml,AFP-L3甲胎蛋白异质体:31.20IU/ml,异常凝血酶原测定:341.00 mAU/mL。临床诊断为原发性肝癌,肝癌组卓曼云和张诚胜医生综合分析患者病情指出,患者诊断小肝癌明确,可选择微波消融或手术切除。患者家属考虑年纪大,不愿意手术治疗,遂在CT引导下行肝癌微波消融术。消融术中患者无手术出血,术后无明显不良反应,住院时间短,住院费用少,术后恢复快,1个月后复查肝脏MRI提示完全消融。目前患者定期复查未见复发。



消融前 消融中 消融后
微波消融术是在B超或CT的等影像引导下,将一根铅笔芯粗细的射频针穿刺入肝脏肿瘤内,微波消融仪在电子计算机控制下将微波脉冲能量通过微波针传导到肿瘤组织中,将肿瘤周围0.5-1.0cm范围内正常组织连同肿瘤病灶一起加热到70 ℃-100 ℃,从而达到使肿瘤组织及其邻近的可能被扩散的组织凝固坏死的目的。
海南医学院第二附属医院肿瘤医学中心——肿瘤内科是我省最早开展肝癌微波消融治疗的医疗机构,自2015年始已完成600多例人次的微波消融技术,积累了丰富的临床经验,特别是原发性小肝癌以及转移性肝癌。经随访2015年-2018年我科原发性小肝癌消融的数据显示,1年累积生存率达86.27%,累积3年累积生存率为72.55%,5年累积生存率为33.33%,相比同期原发性小肝癌手术切除的生存率相当,同时并发症发生率低、术后恢复快、创伤微小、疗效明显、医疗费用低等优点,得到患者的一致好评。
肝癌亚专业介绍
肝癌组为肿瘤内科一大亚组,诊疗范围:包括原发性肝癌的化疗、靶向治疗、免疫治疗,尤其是原发性肝癌的局部治疗,原发性行小肝癌的微波消融技术,穿刺活检技术,肝癌的肝动脉灌注技术和肝癌肝动脉栓塞化疗,以及肝癌的早筛及全程管理技术。
肝癌组专家

消融专家:卓曼云
男,医学硕士,海南医学院第二附属医院肿瘤内科副主任医师。主攻肝癌的消融及介入治疗、穿刺活检术。
专家门诊:周三下午

消融专家:张诚胜
男,医学硕士,海南医学院第二附属医院肿瘤内科副主任医师。主攻肝癌的消融及介入治疗、穿刺活检术。
专家门诊:周四下午

肿瘤早筛专家:徐军女
女,医学博士,海南医学院第二附属医院肿瘤内科主治医师。主攻肝癌的基础研究、肝癌早筛以及肝癌高危人群的全程管理。
Copyright © 2019 版权所有:海南医科大学第二附属医院
地址:海南省海口市龙华区椰海大道368号
投诉电话:0898-66808238 / 客服电话:0898-66809130 / 监督电话:0898-66809051
工信部ICP备案号码:琼ICP备17001021号
琼公网安备 46010602000799号