中文域名:海南医科大学第二附属医院.公益
护理资讯-海南医科大学第二附属医院

壮年男子睡梦中突发脑出血,海医二院多学科协作挽救生命

来源:神经外科二区发布时间:2024-05-20 09:30:00

近日,海南医学院第二附属医院(以下简称“海医二院”)多学科协作成功抢救一名34岁突发脑出血患者,挽救年轻生命。患者到院后,急诊科、神经外科二区、麻醉科等各科室、各部门快速响应整合协作,迅速开通绿色通道,以最快的速度进行救治。

今年34岁的桂先生(化名),在睡梦中突发剧烈头痛,并出现恶心、呕吐,在当地医院行头颅CT扫描提示“小脑出血”,考虑桂先生的病情危重,为寻求更好的治疗,遂120转运至海医二院。转运途中,桂先生在救护车上出现意识加深,呼之不应。到达海医二院急诊科院前时,突然出现呼吸心跳骤停。

急诊科当即为患者开辟绿色通道,以全力赴抢救患者为先,及时为桂先生进行心肺复苏、气管插管、呼吸机辅助呼吸。神经外科二区伍贞宇医生在接到急诊科通知后,第一时间赶到急诊科评估病情,同时汇报神经外科二区科主任王鹏主任。该患者当时已处于深度昏迷状态,双侧瞳孔直径约2mm,对光反应消失,无自主呼吸及心跳。在协同急诊科抢救后患者心跳恢复,但仍无自主呼吸,病情仍十分危重,急诊行CT提示“左侧小脑半球脑出血并破入脑室,第四脑室及脑干受压,继发幕上脑室轻度脑积水,环池消失。”,脑内出血较前明显增多,脑疝形成,需立即进行手术。

明确诊断后,各科室争分夺秒快速完善各项术前准备工作。从桂先生入院到进入手术室,耗时不到30分钟。由神经外科二区脑血管病组龙丁辉医生主刀进行手术,手术过程顺利。患者术后转入ICU,经过不间断不放弃的全力抢救后,患者的生命体征逐渐恢复到平稳状态,术后第10天转回普通病房,经过精心的术后康复治疗,患者意识清醒,出院后继续康复治疗。

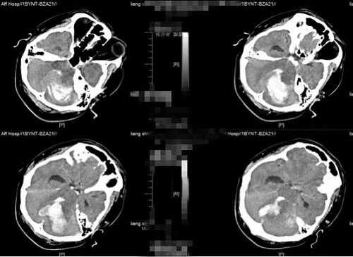
图片1.png

图1术前CT

图片2.png

图2术后CT

小脑出血是指小脑实质内的出血。起病突然,数分钟内出现头痛、眩晕、频繁呕吐、枕部剧烈头痛和平衡障碍等,大量出血可引起梗阻性脑积水,在短时间内陷入昏迷和脑干受压征象。晚期患者可出现瞳孔散大,中枢性呼吸障碍,严重时因枕大孔疝而死亡。

据王鹏主任介绍,因小脑与生命中枢-脑干位置密切,并且所处的后颅窝位置狭小,小脑出血一旦发生,特别是大量出血,抢救难度大,如果没有在短时间内接受手术治疗,很容易导致患者死亡。得益于海医二院卒中中心的创建,急救绿色通道的畅通、各项制度的完善和流程的优化,使得这类危重患者能够在最短的时间内得到专业有效的救治,极大地提升了医院的急救能力,让更多的脑出血患者受益。

 


Copyright © 2019 版权所有:海南医科大学第二附属医院

地址:海南省海口市龙华区椰海大道368号

投诉电话:0898-66808238 / 客服电话:0898-66809130 / 监督电话:0898-66809051

工信部ICP备案号码:琼ICP备17001021号琼公网安备 46010602000799号